| |
Radiographies / CT / MRI |
 |
Les radiographies montrent des changements au niveau des corps vertébraux et une diminution des espaces intervertébraux, bien que l’hernie proprement dite ne puisse pas être visualisée sur une radiographie.
Les conclusions tirées après un examen neurologique approfondi, permettent de déterminer la racine nerveuse concernée et le niveau probable du disque concerné. |
Le recours au scanner ou à l’IRM n’est pas toujours nécessaire sauf si : |
- le diagnostic est incertain
- on note une résistance au traitement
- ou en cas d’aggravation rapide des faiblesses musculaires
- ou alors juste avant une opération
|
 |
Les examens les plus courants pour le diagnostiquer des hernies discales sont le scanner et l’imagerie par résonance magnétique (IRM)
Vous pouvez visualiser sur ce CT l’image d’une hernie discale média latérale.
Contrairement au CT, l’IRM n’utilise pas de rayons x. On peut visualiser la colonne vertébrale en coupe sagittale et coronale.
Pour les patients claustrophobes il existe aussi des appareils ouverts.
|
 |
Hier das Bild einer Computertomographie. Der dreieckige Wirbelkanal, sollte sauber abgegrenzt sein.
Führen Sie Ihren Mauszeiger über das Bild um die mediolaterale Hernie zu sehen. |
 |
La grandeur de l’hernie n’a pas forcément d’importance pour l’issue du traitement, c’est plutôt sa localisation qui est importante. Une petite hernie qui comprime le nerf rachidien juste à sa sortie, là où celui-ci ne peut pas se rétracter, peut provoquer des paralysies.D’autre part une grosse hernie médiane peut rester relativement asymptomatique.
Bild 1: kleine linkslaterale Hernie Bild 2: breitbasige Protrusion |
 |
Bild 1: Normale CT. Bei den Hernien-ähnlichen Aufhellungen handelt es sich um die zwei abgehenden Spinalnerven.
Bild 2: Cette hernie par exemple occupe 1/3 du canal rachidien et n’a pourtant pas dû être opérée. |
 |
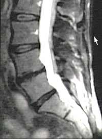
MRI
Prolaps auf der Höhe L4-L5
Contrairement au CT, l’IRM n’utilise pas de rayons x. On peut visualiser la colonne vertébrale en coupe sagittale et coronale. Es ist vor allem in der Darstellung des Nervensystems und der Weichteile, also gerade der Bandscheiben und der Nervenwurzeln, dem CT überlegen. |
 |
Des hernies discales à plusieurs niveaux ont pu être observées chez de nombreuses personnes totalement asymptomatiques.
Sur cette IRM on peut voir trois hernies discales à trois niveaux différents. |
| |
|